OT-Strategy
Attacchi Rhein 83 > ExtraCoronale > OT-Strategy


OT STRATEGY
Gli attacchi OT STRATEGY sono attacchi calcinabili di precisione.
È importante montare le sfere in parallelo poichè da questo dipende in massima parte il corretto funzionamento. Gli attacchi OT STRATEGY sono gli unici attacchi di questo tipo ad avere un supporto a linee parallele sotto la sfera (brevettato) che allinea automaticamente le cappette, cosa importante per l’inserzione della protesi e per la durata delle cappette, evitando rischi di usura della sfera.
La piccola dimensione di questi attacchi consente l’applicazione anche in spazi minimi, e li rende indicati per protesi rimovibili, comunque sempre abbinati a fresaggi adeguati. Nel caso non si ricorra a fresaggio, è bene utilizzare l’optional STEADY.
È importante montare le sfere in parallelo poichè da questo dipende in massima parte il corretto funzionamento. Gli attacchi OT STRATEGY sono gli unici attacchi di questo tipo ad avere un supporto a linee parallele sotto la sfera (brevettato) che allinea automaticamente le cappette, cosa importante per l’inserzione della protesi e per la durata delle cappette, evitando rischi di usura della sfera.
La piccola dimensione di questi attacchi consente l’applicazione anche in spazi minimi, e li rende indicati per protesi rimovibili, comunque sempre abbinati a fresaggi adeguati. Nel caso non si ricorra a fresaggio, è bene utilizzare l’optional STEADY.
INFORMAZIONI PRODOTTO

OT STRATEGY CAPPETTE PER TECNICA DUPLICAZIONE
Ref. 098SSS
• 4 PATRICI STRATEGY (2 standard, 2 lunghe)
• 2 STEADY
• 4 CAPPETTE RITENTIVE PER TECNICA DUPLICAZIONE
• 2 STEADY
• 4 CAPPETTE RITENTIVE PER TECNICA DUPLICAZIONE

OT STRATEGY CAPPETTE PER CONTENITORI INOX
Ref. 098CAL
• 4 PATRICI STRATEGY (2 standard, 2 lunghe)
• 4 CAPPETTE RITENTIVE PER CONTENITORE INOX
• 4CONTENITORI INOX
• 2 POSIZIONATORI IN PLASTICA
• 2 STEADY
• 4 CAPPETTE RITENTIVE PER CONTENITORE INOX
• 4CONTENITORI INOX
• 2 POSIZIONATORI IN PLASTICA
• 2 STEADY

CAPPETTE OT STRATEGY ASSORTITE PER TECNICA DUPLICAZIONE
Ref. 047ACS
• 4 CAPPETTE / GIALLE (ritenzione extra-soft)
• 4 CAPPETTE / ROSA (ritenzione soft)
• 4 CAPPETTE / BIANCHE (ritenzione standard)
• 4 CAPPETTE / ROSA (ritenzione soft)
• 4 CAPPETTE / BIANCHE (ritenzione standard)

CAPPETTE OT STRATEGY ASSORTITE PER CONTENITORI INOX
Ref. 045ACS
• 4 CAPPETTE / GIALLE (ritenzione extra-soft)
• 4 CAPPETTE / ROSA (ritenzione soft)
• 4 CAPPETTE / BIANCHE (ritenzione standard)
• 4 CAPPETTE / ROSA (ritenzione soft)
• 4 CAPPETTE / BIANCHE (ritenzione standard)
ACCESSORI

Ref. 054PLS
• 4 OT STRATEGY (lunga)

Ref. 154PCS
• 4 OT STRATEGY (standard)

Ref. 154STY
• 2 CALCINABILE STEADY

Ref. 047CSDAY
• / GIALLO (extra-soft)


Ref. 047CSDSN
• / ROSA (soft)
Ref. 047CSD
• / BIANCO (standard)

Ref. 047CSDDR8
• / VERDE ACQUA (per tecnica duplicazione – foro interno ridotto per sfere micro sottodimensionate)

Ref. 047CLS
• / NERO (economica solo per laboratorio)

Ref. 045CSMAY
• / GIALLO (extra-soft)

Ref. 045CSMSN
• / ROSA (soft)

Ref. 045CSM
• / BIANCO (standard)

Ref. 045CSMDR8
• / VERDE ACQUA (per contenitore inox – foro interno ridotto per sfere micro sottodimensionate)

Ref. 045CLS
• / NERO (economica solo per laboratorio)

Ref. 046CSM
• 2 CONTENITORI DI CAPPETTE INOX STRATEGY

Ref. 101OTS
• POSIZIONATORE STRATEGY (per l’esatta posizione del contenitore sulla sfera da saldare allo scheletro)

Ref. 044PPS
• 2 PERNI TRANSFER STRATEGY
STRUMENTI

Ref. 486ICS
• 1 INSERITORE/ESTRATTORE DI CAPPETTE STRATEGY

Ref. 75AC04
• 1 CHIAVE PER STRATEGY

Ref. 081RCS
• 1 REGOLATORE DI TENUTA CAPPETTE STRATEGY
INFO STUDIO





INFO LABORATORIO




Inserire la patrice a sfera nella chiave a fine corsa: appoggiare la patrice al modellato in cera e con la chiave toccare il gesso.
Corone con attacco a sfera fuso e fresatura finita e lucidata.
Cappetta ritentiva inserita sulla sfera. Modello cerato (attenzione a non sporcare di cera la cappetta prima della duplicazione)
Modello duplicato in rivestimento con la riproduzione del formato della cappetta.

Formato della cappetta in rivestimento ricoperto di cera. Scheletrato modellato in cera.

Fusione finita. Inserire la cappetta con l’apposito inseritore.

Scheletrato finito, assemblato sul modello.

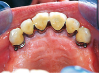
Protesi finita
SPECIFICHE PRODOTTO





VIDEO