OT-CAP per Overdenture
Attacchi Rhein 83 > Overdenture > OT-CAP per Overdenture



OT CAP PER OVERDENTURE
In overdenture, l’utilizzo della sfera a testa PIANA e della cappetta elastica con interno sferico, nelle protesi estese a placca consente durante la masticazione un cedimento verticale che in alcuni casi si combina con il cedimento gengivale, grazie anche alla sensibilità del nylon delle cappette che agiscono in ambiente umido a temperatura costante.
L’esperienza di alcuni dentisti porta alla convinzione che in molti casi si ottenga una stabilità con traumi minimi.
INFORMAZIONI PRODOTTO


PERNI CALCINABILI PER IMPRONTE CANALARI
Ref. 012PSM
Confezione contenente:
• 20 PERNI CALCINABILI MICRO
PERNI CALCINABILI PER IMPRONTE CANALARI
Ref. 010PSP
Confezione contenente:
• 20 PERNI CALCINABILI NORMO
ATTACCHI OT CAP SYSTEM


SFERE SINGOLE IN TITANIO
NORMO+ TiN
(da saldare con il laser – da incollare)
Ref. 038STN
Confezione contenente:
• 2 SFERE SINGOLE IN TITANIO
• 2 CAPPETTE / ROSA (ritenzione soft)
• 1 PORTA SFERA
• 2 BASI GUIDA CALCINABILI
• 2 CAPPETTE / ROSA (ritenzione soft)
• 1 PORTA SFERA
• 2 BASI GUIDA CALCINABILI
SFERE SINGOLE FLEX IN TITANIO
NORMO+ TiN
(da saldare con il laser – da incollare)
Ref. 038STF
Confezione contenente:
• 2 SFERE FLEX SINGOLE IN TITANIO
• 2 CAPPETTE / ROSA (ritenzione soft)
• 1 PORTA SFERA
• 2 BASI GUIDA CALCINABILI
• 2 CAPPETTE / ROSA (ritenzione soft)
• 1 PORTA SFERA
• 2 BASI GUIDA CALCINABILI


OT CAP NORMO
Ref. 092CAN
Confezione contenente:
• 4 SFERE SINGOLE
• 4 CAPPETTE RITENTIVE / ROSA
• 4 CONTENITORI INOX (2 per resina – 2 da saldare)
• 4 POSIZIONATORI PLASTICA
• 4 SFERE SINGOLE
• 4 CAPPETTE RITENTIVE / ROSA
• 4 CONTENITORI INOX (2 per resina – 2 da saldare)
• 4 POSIZIONATORI PLASTICA
SFERE SINGOLE IN TITANIO
MICRO+ TiN
(da saldare con il laser – da incollare)
Ref. 038STM
Confezione contenente:
• 2 SFERE SINGOLE IN TITANIO
• 2 CAPPETTE / ROSA (ritenzione soft)
• 1 PORTA SFERA
• 2 BASI GUIDA CALCINABILI
• 2 CAPPETTE / ROSA (ritenzione soft)
• 1 PORTA SFERA
• 2 BASI GUIDA CALCINABILI


OT CAP NORMO “ECONOMICA”
Ref. 196BCN
Confezione contenente:
• 1 BARRA CALCINABILE DIRITTA
• 1 BARRA CALCINABILE ANGOLARE
• 4 CAPPETTE BIANCHE (ritenzione standard)
• 1 BARRA CALCINABILE DIRITTA
• 1 BARRA CALCINABILE ANGOLARE
• 4 CAPPETTE BIANCHE (ritenzione standard)
OT CAP MICRO
Ref. 092CAM
Confezione contenente:
• 4 SFERE SINGOLE
• 4 CAPPETTE RITENTIVE / ROSA (ritenzione soft)
• 4 CONTENITORI INOX (2 per resina – 2 da saldare)
• 4 POSIZIONATORI PLASTICA
• 4 SFERE SINGOLE
• 4 CAPPETTE RITENTIVE / ROSA (ritenzione soft)
• 4 CONTENITORI INOX (2 per resina – 2 da saldare)
• 4 POSIZIONATORI PLASTICA


OT CAP & OT BOX MONO NORMO
per scheletrati
Ref. 099BSN
Confezione contenente:
• 2 BARRE CALCINABILI (1 dritta, 1 angolare)
• 4 CAPPETTE RITENTIVE BIANCHE
• 4 OT BOX MONO CALCINABILI
• 4 POSIZIONATORI PLASTICA
• 2 BARRE CALCINABILI (1 dritta, 1 angolare)
• 4 CAPPETTE RITENTIVE BIANCHE
• 4 OT BOX MONO CALCINABILI
• 4 POSIZIONATORI PLASTICA
OT CAP MICRO”ECONOMICA”
Ref. 197BCM
Confezione contenente:
• 1 BARRA CALCINABILE DIRITTA
• 1 BARRA CALCINABILE ANGOLARE
• 4 CAPPETTE BIANCHE (ritenzione standard)
• 1 BARRA CALCINABILE DIRITTA
• 1 BARRA CALCINABILE ANGOLARE
• 4 CAPPETTE BIANCHE (ritenzione standard)

OT CAP & OT BOX MONO MICRO
per scheletrati
Ref. 099BSM
Confezione contenente:
• 2 BARRE CALCINABILI (1 dritta, 1 angolare)
• 4 CAPPETTE RITENTIVE BIANCHE
• 4 OT BOX MONO CALCINABILI
• 4 POSIZIONATORI PLASTICA
• 2 BARRE CALCINABILI (1 dritta, 1 angolare)
• 4 CAPPETTE RITENTIVE BIANCHE
• 4 OT BOX MONO CALCINABILI
• 4 POSIZIONATORI PLASTICA


OT CAP TECNO
Ref. 093TCN (NORMO)
Ref. 093TCM (MICRO)
Confezione contenente:
• 2 ESTENSIONI CALCINABILI PRE ANGOLATE
• 2 SFERE SINGOLE FILETTATE IN TITANIO + TIN
• 2 GUAINE IN TITANIO DA INCOLLAGGIO
• 2 CAPPETTE / TRASPARENTI (normo, micro)
• 2 CAPPETTE / ROSA (normo, micro)
• 2 CAPPETTE / GIALLE (normo, micro)
• 2 ESTENSIONI CALCINABILI PRE ANGOLATE
• 2 SFERE SINGOLE FILETTATE IN TITANIO + TIN
• 2 GUAINE IN TITANIO DA INCOLLAGGIO
• 2 CAPPETTE / TRASPARENTI (normo, micro)
• 2 CAPPETTE / ROSA (normo, micro)
• 2 CAPPETTE / GIALLE (normo, micro)
RICAMBI – NORMO – 2.5mm


Ref. 151BAN
• 2 BARRE CALCINABILI (normo)
Ref. 055SCN
• 4 SFERE SINGOLE CALCINABILI (normo)

Ref. 150BPN
• 2 BARRE CALCINABILI (normo)


Ref.048CON
• 6 CAPPETTE ORO ELASTICHE (normo 500g)
Ref. 048CAN
• 6 CAPPETTE ARGENTO ELASTICO GOMMOSE (normo 350g)

Ref. 049PCN
• 6 CAPPETTE VERDI ELASTICHE (normo 350g)

Ref. 060CRNAY
• 6 CAPPETTE GIALLE EXTRA SOFT (normo 500g)


Ref. 040CRN
• 6 CAPPETTE BIANCHE (normo 1300g)
Ref. 040CRNSN
• 6 CAPPETTE ROSA SOFT (normo 900g)


Ref. 043CLN
• 6 CAPPETTE NERE DA LABORATORIO (normo)
Ref. 040TCN
• 2 CAPPETTE TITANIO (normo 1500g)



Ref. 040CRNSNDR8
• 6 CAPPETTE ROSA (normo foro interno ridotto per sfere normo sottodimensionate o sfere ø 2,2mm – 900g)
Ref. 049PCNDR8
• 6 CAPPETTE ARANCIONE ELASTICO (normo foro interno ridotto per sfere normo sottodimensionate o sfere ø 2,2mm – 350g)
Ref. 040CRNDR8
• 6 CAPPETTE VERDE ACQUA (normo foro interno ridotto per sfere normo sottodimensionate o sfere ø 2,2mm – 1300g)

Ref. 042AMN
• 2 MONO OT BOX (normo calcinabile per cappette)


Ref. 041CTN
• 2 CONTENITORI IN TITANIO ANODIZZATI VIOLA (normo)
Ref. 041CAN
• 2 CONTENITORI INOX (normo)

Ref. 101PPN
• 2 ANELLI POSIZIONATORI (normo)
RICAMBI – MICRO – 1.8mm


Ref. 151BAM
• 2 BARRE CALCINABILI (micro)
Ref. 055SCM
• 4 SFERE SINGOLE CALCINABILI (micro)

Ref. 150BPM
• 2 BARRE CALCINABILI (micro)


Ref. 048COM
• 6 CAPPETTE ORO ELASTICHE (micro 450g)
Ref. 048CAM
• 6 Cappette Argento Elastico gommose (micro 200g)

Ref. 049PCM
• 6 CAPPETTE VERDI ELASTICHE (micro 200g)

Ref. 060CRMAY
• 6 CAPPETTE GIALLE EXTRA SOFT (micro 450g)


Ref. 040CRM
• 6 CAPPETTE BIANCHE (micro 1100g)
Ref. 040CRMSN
• 6 CAPPETTE ROSA SOFT (micro 800g)


Ref. 043CLM
• 6 BLACK CAPS (micro solo per laboratorio)
Ref. 040TCM
• 2 CAPPETTE TITANIO (micro 1300g)


Ref. 049PCMDR8
• 6 CAPPETTE ARANCIONE ELASTICO (foro interno ridotto per sfere micro sottodimensionate o sfere ø 1,6mm – micro 200g)
Ref. 040CRMDR8
• 6 CAPPETTE VERDE ACQUA (foro interno ridotto per sfere normo sottodimensionate o sfere ø 1,6mm – micro 1100g)


Ref. 041CAM
• 2 CONTENITORI INOX (micro)
Ref. 042AMM
• 2 MONO OT BOX (normo calcinabile per cappette)


Ref. 041CTM
• 2 CONTENITORI IN TITANIO ANODIZZATI / VIOLA (micro)
Ref. 041CTM
• 2 CONTENITORI IN TITANIO ANODIZZATI / VIOLA (micro)

Ref. 101PPM
• 2 ANELLI POSIZIONATORI (micro)
ACCESSORI – NORMO E MICRO


Ref. 100SAN
• 10 SPAZIATORI IN ALLUMINIO (normo per barre OT Box)
Ref. 044PPN
• 2 TRANSFER PIVOT (normo)

Ref. 044PPM
• 2 PERNI ANALOGHI (micro)

Ref. 100SAM
• 10 SPAZIOATORI IN ALLUMINIO
(micro per barre OT Box)
(micro per barre OT Box)


Ref. 187CRS
• 2 SFERE CAVE (1.8 mm, 2.2 mm, 2.5 mm)
Ref. 155CC
• 6 RACCORDI


Ref. 100PD
• 10 DISCHETTI PROTETTIVI
Ref. 189SRS
• 2 SFERE SOLIDE ( Ø 1,8mm)

Ref. 038GCS
• 2 BASE GUIDA CALCINABILE
STRUMENTI – NORMO E MICRO



Ref. 485IC
INSERITORE/ESTRATTORE DI CAPPETTE CAPPETTE
(normo/micro/OT Equator)
(normo/micro/OT Equator)
Ref. 74AC01
CHIAVE PER PARALELLOMETRO NORMO
Ref. 74AC02
CHIAVE PER PARALELLOMETRO MICRO

Ref.74AC03
CHIAVE PER PARALLELOMETRO TECNO NORMO E MICRO


Ref. 080RCN
REGOLATORE TENUTA CAPPETTE NORMO
Ref. 491EC
ESTRATTORE DI CAPPETTE MULTIUSO
(con foro portastelo)
(con foro portastelo)


Ref. 082ATN
ATTREZZO DI CONTROLLO TENUTA NORMO
Ref. 080RCM
REGOLATORE TENUTA CAPPETTE MICRO


Ref. 083ATM
ATTREZZO DI CONTROLLO TENUTA MICRO
Ref. 083ATM
ATTREZZO DI CONTROLLO TENUTA MICRO

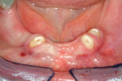
INFO STUDIO


Impronta con materiale elastomero
Radici preparate


A resina indurita estrarre la protesi, togliere i dischetti e rifinire le eccedenze di resina
Dischetti protettivi sulle cappette fuse. Protesi in resina: spazio corrispondente alle cappette da riempire con resina auto-indurente. Inserire la protesi in bocca e fare stringere

Protesi finita

LABORATORIO


Sfere Singole calcinabili – Monofusione
Perni da ribasare con resina
nei canali radicolari
Non utilizzare mai la sfera del perno

Tagliare il perno a livello del piano radice


Monofusione: perno cappuccio e sfera fusi. Oltre al parallelismo le sfere sono in posizione sfasata rispetto all’asse del perno
Montare in parallelo la sfera singola nella posizione più confacente

SFERE IN TITANIO


Modellare il cappuccio in cera. Applicare la sfera in titanio
Ricoprire con cera tre soli lati delle pareti inclinate
Sfilare la sfera in titanio dalla base guida calcinabile prima di applicare i perni di colata.

Sfera in titanio inserita nella guida
SPECIFICHE PRODOTTO





VIDEO